Soyez inspirés par la science et la passion
Formations disponibles
-

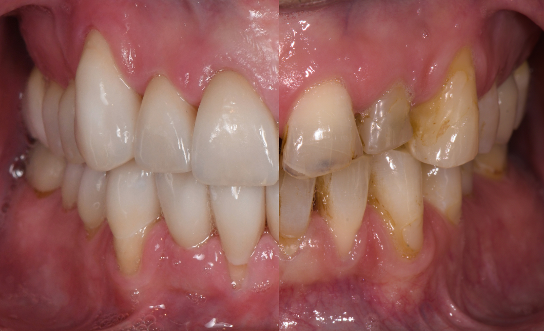
MAÎTRISER LA DENTISTERIE BIOMIMÉTIQUE ET ESTHÉTIQUE
PROCHAINE DATE DISPONIBLE :
Volet Postérieures : 20 Novembre 2026
Volet Antérieures et Postérieures : 20-21-22 Novembre 2026
-

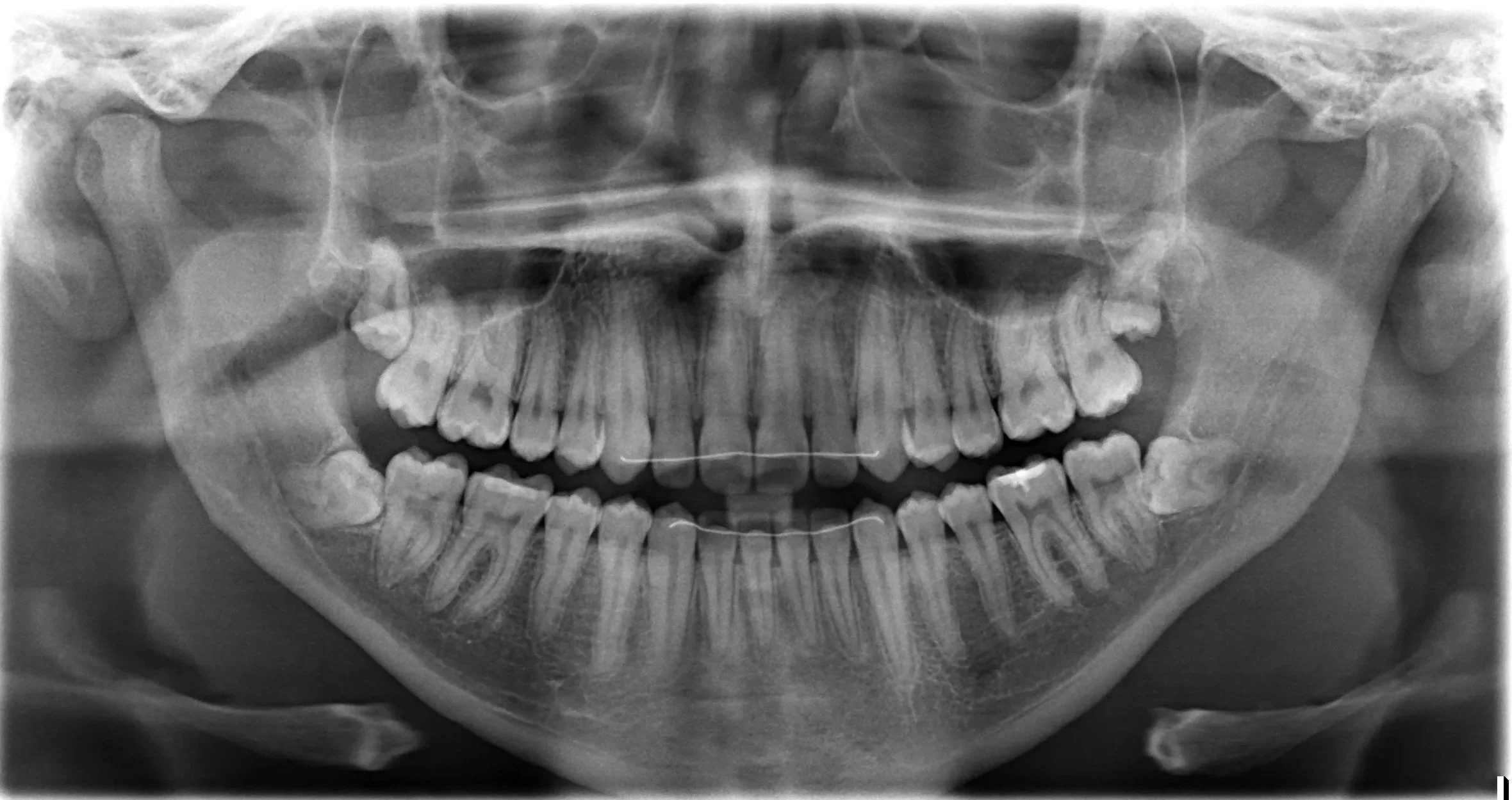
Maîtriser la réhabilitation complète
PROCHAINE DATE DISPONIBLE :
MODULE 1 : 11-12 Avril 2026
MODULE 2 : 8-9 Mai 2026
-

Maîtriser les extractions dentaires
PROCHAINE DATE DISPONIBLE :
6-7-8 Mars 2026
-

MAÎTRISER LA CHIRURGIE MUCO-GINGIVALE
PROCHAINE DATE DISPONIBLE :
3-4 Octobre et 7-8 Novembre 2026
-

MAÎTRISER LA PHOTOGRAPHIE DENTAIRE
PROCHAINE DATE DISPONIBLE :
VERSION EN LIGNE À VENIR