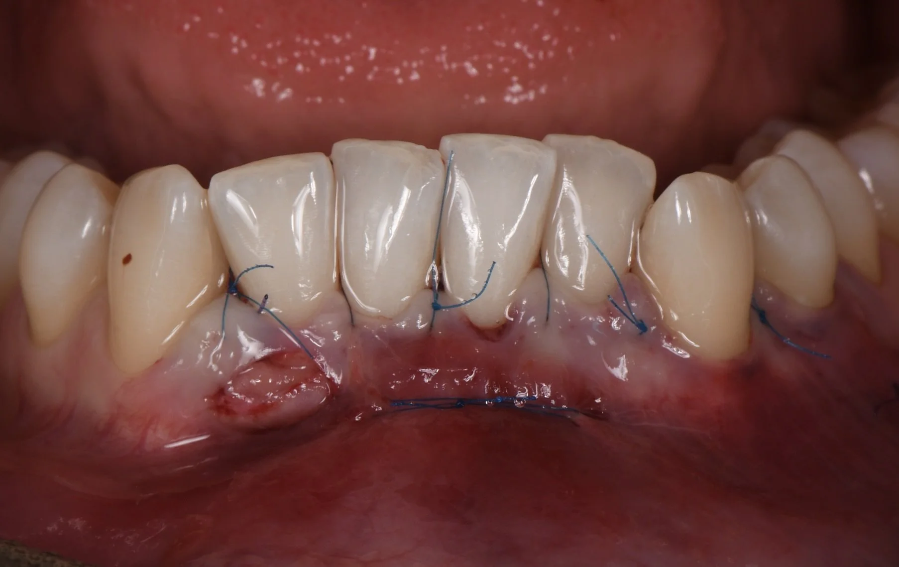
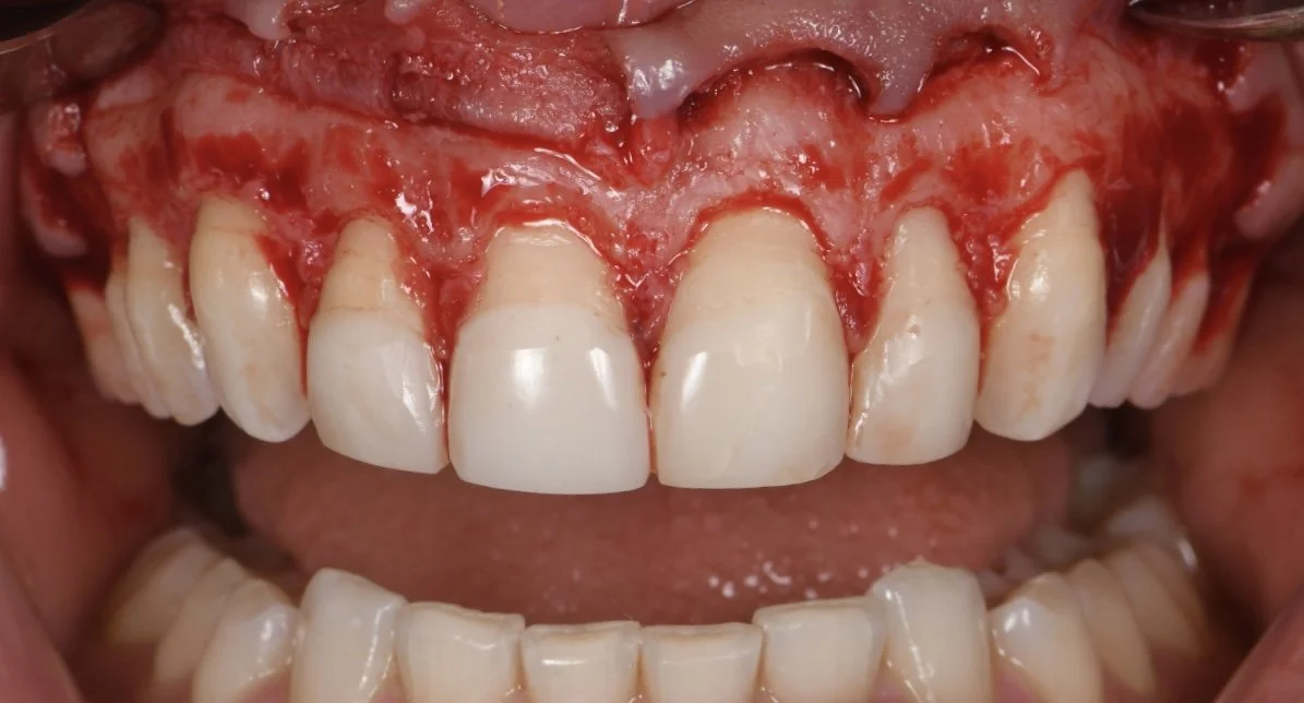
Maîtriser la chirurgie muco-gingivale
Cette formation unique en parodontie propose une expérience immersive permettant aux dentistes d’approfondir leurs connaissances en chirurgie muco-gingivale, avec l’opportunité de réaliser jusqu’à 4 chirurgies de leur choix sur leur patient, encadrés à chaque étape.
Sur 4 jours, des conférences structurées, des démonstrations en direct et des ateliers pratiques vous permettront de maîtriser les techniques de greffes gingivales libres, de greffes de tissu conjonctif – des plus conventionnelles aux plus avancées – ainsi que l’élongation coronaire.
Ce dont vous bénéficierez
INSCRIPTION
COût (PRATIQUE + théorie) : 4775,00$ + taxes
Les participants qui s’inscrivent à la portion pratique auront accès à la portion pratique (4 chirurgies sur patients). 12 places seulement. La partie pratique aura lieu le 7-8 Novembre 2026.
COût (Théorie seulement) : 2575,00$ + taxes
Les participants inscrits uniquement à la portion théorique auront accès aux présentations magistrales. Celle-ci aura lieu le 10-11 Octobre 2026
Cette formule s’adresse à ceux qui souhaitent approfondir leurs connaissances sans participer à la portion pratique.
OÙ : Clinique dentaire Multi de Laval, 2540 boulevard Daniel-Johnson, bureau 905, Laval, H7T 2S3
NOMBRE D’UNITÉS FC : 46 UFC (pratique + théorie) — 22 UFC (Théorie seulement)
PROCHAINE DATE DISPONIBLE :
10-11 Octobre 2026 (PORTION ThéoriQUE)
7-8 Novembre 2026 (PORTION pratique)
NOTRE ÉQUIPE DE FORMATION
-

YOUSSEF BOUHOUT
PARODONTISTE
-

BILAL EL-MASRI
DENTISTE GÉNÉRALISTE
-

EYAD KASSAB
DENTISTE GÉNÉRALISTE
Ce que les participants ont à dire
Nos partenaires