Présentations de cas

Passer aux vidéos
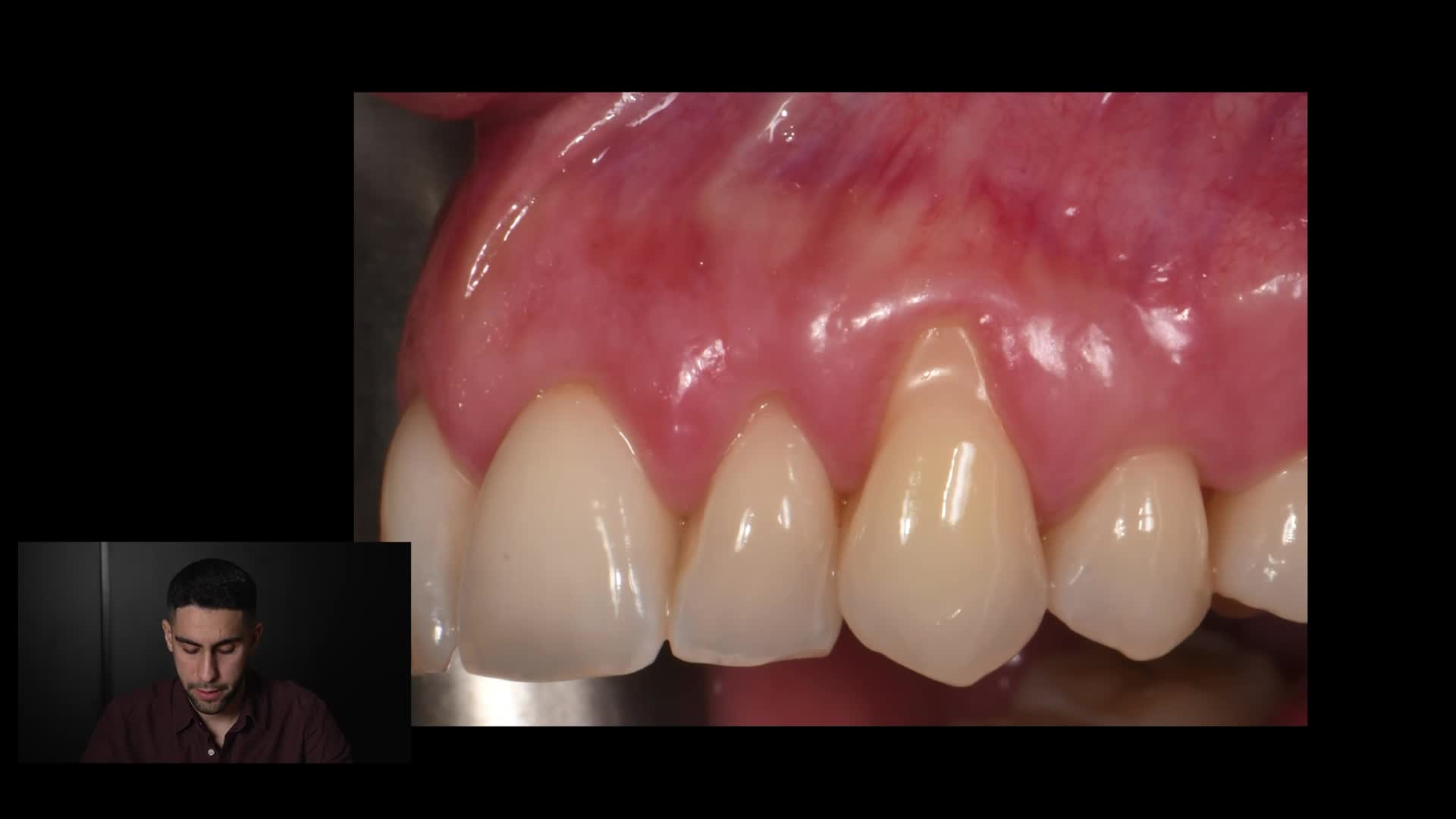
  • Échec de design

    Il est souvent difficile de dire objectivement pourquoi un cas est moins bien réalisé esthétiquement. Cette courte capsule présente certains aspects concrets et faciles à visualiser à porter attention lors de nos prochains cas esthétiques.

  • Greffe de tissu conjonctif

    Plusieurs techniques de greffe de tissu conjonctif sont à la disposition du clinicien. L’objectif n’est pas d’appliquer une seule technique à l’ensemble des patients, mais plutôt de maîtriser différentes approches afin de choisir celle qui est la mieux indiquée pour chaque situation clinique.