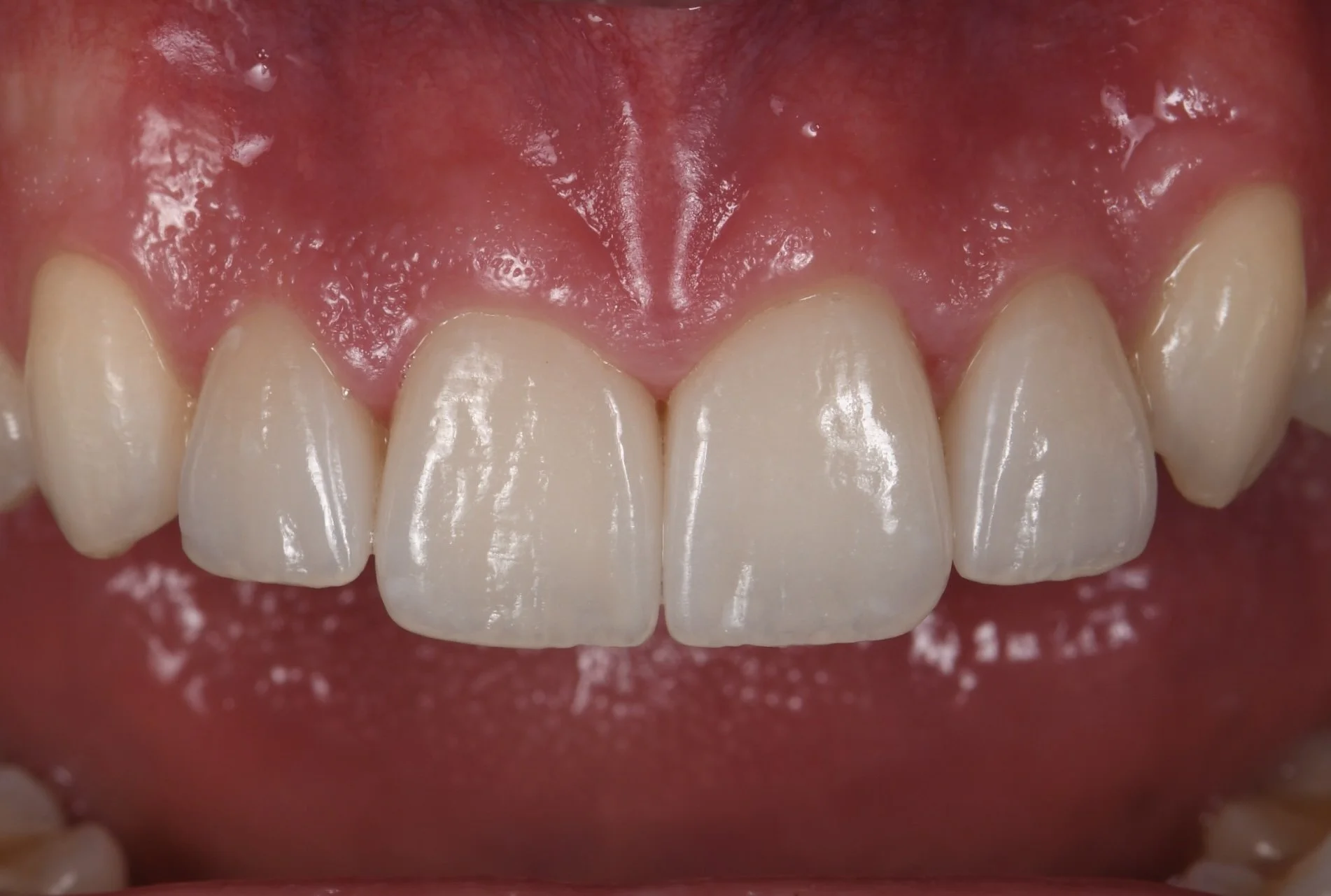
Maîtriser la dentisterie biomimétique et esthétique

Cette formation en dentisterie esthétique immersive s’adresse aux dentistes souhaitant approfondir leur pratique à travers une approche biomimétique des restaurations conservatrices.

Sur trois jours, conférences structurées, démonstrations en direct et ateliers pratiques permettent de maîtriser les techniques de préparation, temporisation et cimentation des restaurations postérieures et antérieures, avec une intégration complète du flux numérique.

Nous donnons désormais le choix de prendre seulement le volet “Dents Postérieures” afin d’accommoder les participants qui ne souhaitent pas entamer tout de suite les dents antérieures.

Ce dont vous bénéficierez

INSCRIPTION

Nous donnons désormais le choix de prendre seulement le volet “Dents Postérieures ” afin d’accommoder les participants qui ne souhaitent pas entamer tout de suite les dents antérieures.
Ce volet aura lieu le vendredi (1re journée des 3 jours de formation) et il est également obligatoire pour ceux qui veulent prendre le volet “Dents Antérieures”.

Volet “dents postérieures ” seulement :

  • COût : 1215,00 $ + taxes

  • NOMBRE D’UNITÉS FC : 12 UFC

  • Ce volet aura lieu le 20 novembre

Volet “dents Antérieures et postérieures ” :

  • COût : 3450,00 $ + taxes

  • NOMBRE D’UNITÉS FC : 36 UFC

OÙ : Clinique dentaire Multi de Laval, 2540 boulevard Daniel-Johnson, bureau 905, Laval, H7T 2S3

Conférencier: dr bilal el-masri, DMD




PROCHAINE DATE DISPONIBLE :

20-22 Novembre 2026

Ce que les participants ont à dire

Nos partenaires

Aucune place disponible?

Inscrivez-vous dès maintenant pour recevoir nos prochaines dates en avance et avoir priorité lors de l’inscription!